Многопрофильный стоматологический центр
г. Москва, Лазоревый проезд, д. 5, корп. 4
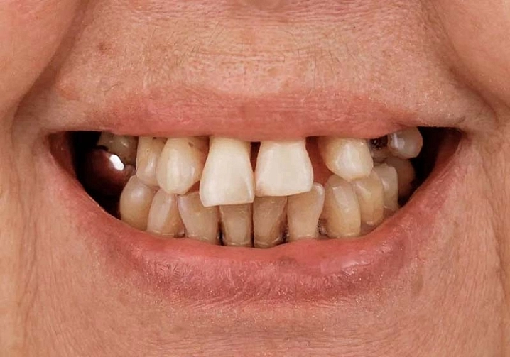
Виниры
WeekSmile – клиника полного спектра стоматологических услуг

Адрес: Лазоревый проезд, д. 5 корп. 4, г. Москва

Телефон: +7 (495) 513-11-02 8(800)-555-13-07

Специализация: Виниры, Имплантация зубов, Хирургия

Услуги:

Виниры

Идеальный способ исправить недостатки зубов

Высокоточные оптические слепки методом 3D-сканирования

Вы увидите, как преобразится улыбка, ещё до начала лечения

от 17 000 ₽

Содержание

Существует два метода изготовления виниров: прямой и непрямой

Прямой способ — это метод эстетической реставрации зубов при помощи композитных светополимерных материалов в клинике прямо в кресле врача. Терапевт послойно воспроизводит художественную реставрацию и коррекцию зубов. Таким методом изготавливают композитные виниры. Композитные виниры рекомендовано менять через 3-4 года. Это обусловлено тем, что композитные реставрации гораздо более требовательны в уходе. Необходима регулярная полировка 1 раз в 4 месяца. Поскольку композитные реставрации теряют блеск, впитывают красители, хрупкие, со временем дают усадку, что приводит к образованию вторичного кариеса. Поэтому посещать врача и проводить чистку в клинике пациенту придётся часто.


Непрямой способ - это метод, при котором виниры изготавливаются на 3D-компьютерном оборудовании. Преимущества клиники WEEKSMILE, которые выделяют ее среди клиник по эстетической стоматологии именно в ее оснащенности современным оборудованием, позволяющим всего за одно посещение исправить такие недостатки, как:

В нашей клинике эстетической стоматологии применяются современные 3D- технологии, позволяющие преобразовать улыбку за одно посещение.

Виниры - это тонкие накладки (микропротезы), которые фиксируются на передней поверхности зуба. Их основная задача - кардинально улучшить эстетику улыбки, исправив цвет, форму, размер и положение зубов.

В клинике WEEKSMILE пациент до начала лечения может примерить свою новую улыбку и увидеть ее не только на фото в компьютере, но и буквально в зеркале.

Существуют два принципиально разных способа изготовления виниров.

  • щели между зубами
  • следы от тетрациклина
  • флюороз
  • темные пятна
  • сколы и неровности эмали и др.

Какой способ будет использоваться, зависит от выбранного материала для микропротезов. Но стоит знать, что материалы, использующиеся для непрямого метода изготовления, более эстетичные, долговечные и прочные. Срок их службы - несколько десятилетий.

2-Поле

[ 1 ] 2-1--Поле
[ 2 ] 2-2--Поле

Преимущества виниров

[ 1 ]

Эстетика

Отличить качественные реставрации от естественных зубов может только специалист. Ровная, белоснежная улыбка – главная цель зубного виниринга. У микропротезов из керамики широкая палитра оттенков, в связи с этим можно добиться любого желаемого результата. Даже если понадобится установить только 1 винир, он не будет отличаться от всех остальных естественных зубов.

[ 2 ]

Долговечность и надежность

Керамика не впитывает пищевые красители, поэтому со временем не меняет цвет. Керамические изделия прочные, не дают усадку в отличии от композитных. Композитные материалы впитывают пищевые пигменты и требуют ухода и полировки в условиях клиники. Керамические изделия не впитывают пигменты от кофе, чая, вина и тд. Современные методы виниринга требуют минимальной обточки зубов, а иногда и вовсе обходятся без нее.

[ 3 ]

Защита и преображение

Реставрации из керамики, кроме эстетики, выполняют и защитную функцию от повышенной чувствительности зубов. После установки под ними не образуется вторичный кариес, так как материал не дает усадку ни через год, ни через 10 лет. С помощью виниринга меняют не только цвет, но и форму, положение, закрывают не только промежутки между зубами, но и небольшую кривизну, делая улыбку идеальной.

6-Поле

[ 1 ] 6-Поле

1-Поле

[1] 1-1--Поле
[2] 1-2--Поле

5-Поле

  • 1/

    5-Поле

    фото: 5-Поле

Важно!

Иногда пациенты просят установить виниры в зоне улыбки только на верхний ряд, игнорируя нижний ряд зубов, ведь он не у всех заметен при разговоре. В этом случае невозможно сильно изменить цвет верхних зубов, так как нижние будут выделяться.

Стоматологи рекомендуют устанавливать микропротезы на верхний и нижний зубной ряд, так как только при таком микропротезировании можно добиться любого желаемого эстетического результата для улыбки.

Записаться на прием

Показания и противопоказания к установке виниров

Показания
Сколы и трещины на зубной эмали
Межзубные промежутки (тремы и диастемы)
Изменение цвета (дисколорит) улыбки
Изменение формы зуба
Изменения положения зуба
Флюоороз
Клиновидный дефект
Противопоказания
Непроизвольный скрежет зубами (бруксизм)
Сильное кариозное поражение зубов
Дефекты прикуса
Склонность эмали к быстрому истиранию
Заболевания десен (например, пародонтоз)
Занятия травматичными видами спорта

Виды виниров

[1]

Виниры E-max

E-Max — это современный материал для производства цельнокерамических изделий, который применяется в нашей клинике. Изделия из керамики E-Max надёжные, прочные и высокоэстетичные. Микропротезы не меняют цвет, поскольку материал не впитывает пигменты. Они сохраняют визуальную безупречность на протяжение всего срока службы. В нашей клинике виниры Е-Мах изготавливают на современном цифровом оборудовании Cerec в собственной лаборатории всего за 1-3 дня, установка проводится за 1 приём. Срок службы виниров Е-Мах от 15 лет.

Подробнее
[2]

Керамические виниры

Долгое время единственным материалом для изготовления виниров была полевошпатная керамика. У нее отличные эстетические свойства, но она не такая прочная, как керамика Е-Мах - стеклокерамика на основе дисиликата лития. Еще отличительная особенность между ними, это метод и сроки изготовления. Керамические виниры Е-Мах фрезеруют из цельного куска керамики на цифровом оборудовании. Нет необходимости снимать традиционные слепки. Снимается оптический слепок методом 3D сканирования. Срок изготовления таких реставраций составляет 1-3 дня, поэтому устанавливать их можно уже через несколько дней после обращения.

Подробнее
[3]

Композитные виниры

Композит — это разновидность фотополимеров, которые используют для пломбирования зубов. Устанавливают во фронтальной группе зубов прямым методом за одно посещение. Терапевт послойно наносит композитный материал, каждый слой засвечивает полимеризационной лампой. Композитные виниры еще называют художественной реставрацией. Композитные реставрации впитывают пищевые красители, со временем меняют цвет, теряют блеск, в связи с этим стоматологи рекомендуют полировать их 1 раз в полгода. Также, композит со временем дает усадку, что приводит к образованию вторичного кариеса. Срок службы таких реставраций до 5 лет.

Подробнее
[4]

Виниры на рефракторе

Виниры на рефракторе — это тончайшие и прочные изделия. Их изготавливают из полевошпатной керамики, которую зубной техник послойно наносит на огнеупорный штампик (рефрактор). После нанесения каждого слоя керамики рефрактор запекают в высокотемпературной печи, благодаря чему и достигается высочайшая прочность в сочетании с тонкостью ручной работы. Такие реставрации - аналоги люминиров. Обточка зубов производится в пределах 0.2 мм.

Подробнее

Преимущества установки виниров в клинике WeekSmile

01/

Цифровой дизайн улыбки

Digital Smile Design – цифровая технология, позволяющая на основании сканирования ротовой полости и фотопротокола, увидеть, как преобразуется ваша улыбка.

фото:
02/

Установка за 1 прием

Современное цифровое оборудование Cerec с программным обеспечением позволяет воспроизводить реставрацию за 1 прием. Современный метод сканирования обеспечивает высокую точность прилегания.

Записаться на прием
03/

Цифровое моделирование с постановкой

Направленность данной услуги является то, что новую улыбку можно не только увидеть, но и примерить до начала лечения. Скорректировать цвет, форму будущей реставрации.

фото:
04/

Постоянное предложение лояльности “Тотальная реабилитация”

Это восстановление эстетики и функциональности, независимо от клинического случая, ортопедическими технологиями: виниры, коронки, мостовидные реконструкции и т.д.

фото:

Этапы установки виниров

HD-консультация и диагностика
В нашей клинике консультация проводится в НD формате. Ортопед проводит осмотр полости рта, КТ диагностику в трехмерном измерении, фотопротокол исходной ситуации. После собранной информации в консультативной комнате доктор выводит на монитор все ваши фото, КТ диагностику и вы вместе наглядно оцениваете ситуацию в полости рта. На этом этапе доктор и пациент выбирают материал, из которого будут изготавливаться виниры. Ортопед составляет план лечения с зафиксированными ценами, сколько стоит процедура, зависит от вида виниров и их количества. Итоговая цена в плане лечения - под ключ. В неё входят все работы, анестезия и профилактические приёмы в стоматологии в период реабилитации.
Моделирование и примерка виниров

Для виниров из керамики Е-Мах.

На этом этапе ортопед сканирует исходную ситуацию в полости рта. В специальной программе моделирует проект будущей улыбки. На основе полученных данных на 3D принтере печатает макет будущих реставраций из специальной пластмассы. До начала препарирования зубов пациенту примеряют модель будущих накладок. Оценивают результат, подбирают цвет и вносят корректировки по форме зубов.

Для виниров на рефракторе.

На данном этапе ортопед снимает классические слепки при помощи слепочной массы для 3D-моделирования будущей улыбки. Техник по полученным слепкам отливает модель и из воска моделирует реставрации для примерки. На примерке доктор и пациент согласовывают форму, положение и цвет будущих микропротезов, при необходимости вносят корректировки.

Подготовка поверхности зуба

Для виниров из керамики Е-Мах.

Проводится санация полости рта и профгигиена. После зубы сошлифовывают по выбранному макету будущих реставраций в пределах около 0.5 мм. В нашей клинике ортопед снимает оптический слепок с помощью внутриротового 3D сканера. Далее врач отправляет скан зубному технику для изготовления постоянных микропротезов. На зубы устанавливают временные накладки.

Для виниров на рефракторе.

На данном этапе доктор проводит санацию полости рта. При необходимости ортопед приступает к незначительной обточке эмали зубов в пределах 0.2-0.4 мм. Снимает слепки и отправляет в лабораторию для изготовления постоянных изделий. В случае, если врач произвел препарирование, на зубы устанавливают временные накладки.

Изготовление виниров

В клинике виниры из керамики Е-Мах изготавливают в собственной зуботехнической лаборатории, которая оснащена современным цифровым оборудованием Cerec. По полученному оптическому слепку, техник моделирует в компьютерной программе постоянные виниры. Далее микропротезы фрезеруются из цельного куска керамики на цифровом оборудование Cerec. Цифровые технологии обеспечивают точность прилегания постоянных виниров к тканям зуба и сокращают сроки протезирования до 1-3 дней. Поэтому в нашей клинике в Москве установить и изготовить их можно быстро.

Виниры на рефракторе. зубной техник изготавливает в лаборатории вручную. На огнеупорный штампик вручную наносится послойно керамика из полевого шпата. Благодаря огнеупорности рефрактор выдерживает высокую температуру в специальной печи. Каждый слой керамики запекают отдельно. Срок изготовления до 3 недель.

Для композитных виниров. терапевт проводит профессиональную гигиену полости рта, убирает все пораженные ткани кариесом или старые пломбы. Подбирает нужный оттенок. И приступает к послойному нанесению композиционного материала выбранного цвета. Такая реставрация изготавливается прямым методом в кресле врача за 1 посещение.

Установка виниров

Для виниров из керамики Е-Мах.

На данном этапе постоянные реставрации фиксируют при помощи специального светоотверждаемого адгезивного цемента на переднюю поверхность зуба. Далее ортопед проводит окончательную полировку и корректировку по прикусу. Дает рекомендации по уходу. Устанавливают изделия за 1 приём, фиксация виниров занимает около 2 часов.

Для виниров на рефракторе.

Врач снимает временные виниры, протравливает эмаль для лучшего сцепления материала с поверхностью зуба и фиксирует на цемент двойного отверждения постоянные реставрации. Проводит окончательную полировку и дает рекомендации по уходу. Процедура занимает около двух часов, гарантия на работу врача нашей стоматологии - год.

Уход

Чистить зубы необходимо минимум 2 раза в день утром и вечером. Вычищать межзубные промежутки зубной нитью или ирригатором. Посещать стоматолога для профилактических осмотров и профгигиены 2 раза в год, керамические микропротезы не так часто нуждаются в полировке, как композитные. Срок службы от 15 лет.

Для того, чтобы композитные виниры как можно дольше сохраняли форму и эстетичность, пациенту следует соблюдать следующие рекомендации:

  • Исключите приём твёрдой пищи с большим количеством красителей;
  • Ограничьте курение, так цвет реставрации продержится дольше, чем год;
  • Регулярно посещайте врача и проходите процедуру удаления зубных отложений 2 раза в год;
  • Каждые 4-6 месяцев рекомендована полировка реставраций, чтобы внешний вид реставраций сохранялся как можно дольше;
  • При выполнении всех рекомендаций срок службы зубных композитных виниров около 5 лет.
[1] HD-консультация и диагностика
[2] Моделирование и примерка виниров
[3] Подготовка поверхности зуба
[4] Изготовление виниров
[5] Установка виниров
[6] Уход

6-Пустой текстовой блок

6-Пустой текстовой блок

Преимущества нашей клиники

[ 1 ]

Зуб за час по технологии Cerec

Оборудование от Cerec позволяет изготавливать протезы в сжатые сроки непосредственно в клинике в течение 1 приема..

[ 2 ]

Цифровой дизайн улыбки

До начала лечения пациенты могут увидеть смоделированную цифровую 3D визуализацию будущего результата.

[ 3 ]

Лечение зубов в рассрочку

Беспроцентная рассрочка На срок 6 и 12 месяцев.

[ 4 ]

Бесплатная диагностика

Каждый пациент клиники перед началом лечения проходит углубленную диагностику, включающую в себя осмотр всеми профильными специалистами, с полной демонстрацией клинической ситуации в HD-формате. Вы получаете несколько планов лечения с фиксированной стоимостью под ключ.

[ 6 ]

Врачи высокой квалификации

В клинике работают опытные специалисты, владеющие современными технологиями в области хирургии, имплантации, ортопедии и терапии

[ 5 ]

Инновационные методы

Применяем современное оборудование и технологии и восстанавливаем эстетику зубов в течении одного приема. Цифровым моделированием показываем результат уже на первой консультации!

[ 7 ]

Своя лаборатория

Своя зуботехническая лаборатория позволяет значительно сократить время протезирования

[ 8 ]

Удаленная консультация для иногородних пациентов

На основании симптомов и приложенных снимков наши специалисты бесплатно высылают на почту или в мессенджеры предварительное медицинское заключение и рекомендуемый план лечения.

Мнение врача о винирах

Виниры — это инновационное решение для тех, кто мечтает о совершенной улыбке. Как стоматолог, я рекомендую их, потому что они безопасны, просты в установке и максимально приближены к естественному цвету зубов.
Михалев.

Важно отметить, что выбор между дорогими и дешевыми винирами зависит от индивидуальных потребностей и бюджета пациента, цена зависит от материала изделий. Кроме того, уход за дешёвыми композитными винирами, который не входит в изначальую цену, необходим гораздо более тщательный и затратный. Врач может помочь определить наилучший вариант виниров и вид материала для каждого пациента в зависимости от их конкретной ситуации. Улыбка будет идеальной дольше при соблюдении рекомендаций по уходу. Записаться на прием

Работы врачей стоматологического центра

10 Виниров из цельной керамики E-max

Девушка обратилась в клинику с жалобой на эстетику верхних зубов в зоне улыбки. Стоматолог-ортопед провёл сканирование и 3D-моделирование, после чего 10 виниров были установлены за 1 приём.

20 виниров из керамики E-Max

Пациентка обратилась в клинику с жалобой на эстетику улыбки. После 3D моделирования результата девушке было установлено 20 виниров из керамики E-max: по 10 единиц для каждой челюсти, преображена вся фронтальная зона.

Восстановление верхней челюсти по системе All-on-4

Женщина обратилась с жалобой на полное пародонтоз 3-4 степени и выраженную подвижность зубов. Хирург Вознюк Владимир Александрович за один приём установил импланты по методу All-on-4 на верхнюю челюсть и All-on-6 на нижнюю. После интеграции имплантов установлен цельноциркониевый несъёмный постоянный протез.

Восстановление зубов цирконием протезом после лечения

Проведена санация полости рта (удаление корней, лечение зубов) с последующей фиксацией циркониевых конструкций. Эстетика зубного ряда восстановлена.

Восстановление эстетики улыбки винирами E-max

Пациенту были изготовлены и установлены 10 керамических реставраций E-max на цементной фиксации.
В результате восстановлена эстетика и форма зубов.

Комплекс виниров

Пациентка обратилась в клинику из-за неудовлетворительной эстетики зубов.
Была проведена HD-консультация и 3D моделирование улыбки. Далее был изготовлен и установлен комплекс из керамических виниров E-max. Исправлен цвет и коррекция десны.

Комплекс виниров E-max на верхнюю и нижнюю челюсть

Проведена эстетическая реставрация передних зубов верхней и нижней челюстей винирами E-max. Исправлены форма, размер и восстановлена поверхность зубов.

Комплекс виниров из цельной керамики E-max

Пациент прошел комплексную диагностику и 3D моделирование улыбки. После этого были изготовлены и установлены керамические виниры E-max, что позволило добиться гармоничного и естественного вида зубов.

Комплексная реставрация винирами E-max на верхней и нижней челюсти

Проведена полная эстетическая реставрация зубных рядов верхней и нижней челюстей винирами E-max. Восстановлена форма, размер, цвет и поверхность фронтальных зубов, достигнута гармоничная улыбка.

Установка 4-х виниров E-max в один день

Пациенту изготовлены и установлены 4 винира E-max по технологии CEREC за одно посещение.
Восстановлена эстетика и форма зубов.

Смотреть все работы

3-Поле

3-Поле
3-Поле
3-Поле
3-Поле

Специалисты центра

Михалев Александр Владимирович
  • Ортопед
  • Опыт: 11 лет
  • Рекомендуют 100% пациентов

Специализация:
Эстетическая стоматология, протезирование коронками и вкладками, протезирование на 
имплантах.

Участие в международных конференциях или курсы повышения квалификации.

5.0
4.8
5.0
Дорохов Константин Владимирович
  • Ортопед
  • Опыт: 34 года
  • Рекомендуют 100% пациентов

Специализация:
Ортопедическая стоматология, протезирование коронками и вкладками, протезирование на 
имплантах.

Участие в международных конференциях или курсы повышения квалификации.

5.8
5.4
5.0
Чорный Станислав Владимирович
  • Ортопед
  • Опыт: 18 лет
  • Рекомендуют 100% пациентов

Специализация:
Восстановление зубов коронками и винирами, протезирование на имплантатах, изготовление съемных и несъемных протезов, решение проблем функциональности и эстетики зубочелюстной системы.

Участие в международных конференциях или курсы повышения квалификации.

5.0
5.0
5.0
Вознюк Владимир Александрович
  • Хирург-имплантолог
  • Опыт: 41 год
  • Рекомендуют 100% пациентов

Специализация:
Хирургическая стоматология, удаление новообразований, установка имплантов, удаления зубов любой сложности, пластика уздечки языка и губы.

Участие в международных конференциях или курсы повышения квалификации.

4.8
5.0
5.0
Токова Арина Леонидовна
  • Стоматолог-терапевт
  • Опыт: 11 лет
  • Рекомендуют 100% пациентов

Специализация:
Терапевтическая стоматология, лечение пульпитов, кариеса, художественная реставрация зубов.

Участие в международных конференциях или курсы повышения квалификации.

5.8
5.4
5.0
Киреева Елизавета Игоревна
  • Стоматолог-терапевт
  • Опыт: 6 лет
  • Рекомендуют 100% пациентов

Специализация:
Терапевтическая стоматология, лечение пульпитов, кариеса, профессиональное отбеливание, художественная реставрация зубов.

Участие в международных конференциях или курсы повышения квалификации.

5.8
5.4
5.0

Вам могут быть полезны эти отзывы

Благодаря врачам исполнилось мое заветное желание

Добрый день. Посетила клинику WeekSmile и была приятно удивлена, исполнилось благодаря врачам мое заветное желание. Я теперь имею прекрасную улыбку и хотела поблагодарить врачей: Арину Леонидовну, Владимира Александровича Вознюка, также Александра Владимировича. Спасибо вам огромное за исполнения желания моего и за прекрасную мою улыбку.

Все отзывы
Была в клиники WeekSmile, мне очень понравилось!

Всем здравствуйте. Была в клиники WeekSmile, мне очень понравилось, лечила зубы у Константина Владимировича и вставила виниры. Огромное спасибо мне все очень понравилось, самое главное все прошло легко и просто. Я переживала что будет тяжело... Но просто все просто отлично, всем рекомендую и прошло это буквально за 2 недели и я хожу уже с зубами, мне очень понравилось!

Все отзывы
Восстановление эстетики зубов во фронтальном отделе керамическими винирами

Пациентка обратилась в клинику с жалобами на эстетику фронтального отдела челюсти, на неудовлетворительный внешний вид улыбки.

Была проведена моделировка и установка восьми виниров из керамики E-MAX на верхнюю челюсть.

Все отзывы
Высококвалифицированный персонал, современное оборудование

Здравствуйте! Воспользовался услугами клиники WeekSmile. Хочу отметить: всё профессионально, быстро, а главное – безболезненно, высококвалифицированный персонал, оборудование. Всё сделали быстро, красиво, очень доволен, всем рекомендую.

Все отзывы
Зуб за час в WeekSmile

Добрый вечер. Был в клинике WeekSmile у доктора Чорного. Остался очень доволен: всё прошло очень быстро и чётко, мне установили зуб всего за один час! Прихожу сюда не в первый раз и всегда остаюсь доволен. Персонал постоянно даёт полезные рекомендации. Всем советую эту клинику!

Все отзывы
Идеальная улыбка с WeekSmile

Хочу выразить огромную благодарность клинике WeekSmile. Всем врачам клиники. Отдельно хочу сказать спасибо ортопеду Михалеву Александру Владимировичу за установку виниров. Все мои пожелания учлись, сделали красивую улыбку. Сделали все как я хотела, большое спасибо.

Все отзывы
Имплантация по технологии All-on-6

Доктора творят чудеса, имплантация по технологии All-on-6. Хочу выразить огромную благодарность всем врачам, хирург просто от Бога.

Все отзывы
Приехала из Великобритании ради виниров из WeekSmile и осталась в восторге!

С возрастом мои зубы стали желтоватыми, что мне очень не нравиться, они очень выдают возраст. И я очень сильно хотела сделать виниры, ну я так подумала, что мне нужны виниры. Сама я приехала из Великобритании в интернете я нашла все об этой клинике WeekSmile, мне очень понравилось что в этой клинике есть оборудование, котором тут же можно изготовить виниры и вкладки, и то что они делают это очень быстро. Может по этому, называется WeekSmile, то что за неделю можно сделать такие великолепные зубы. Мне сделали полностью зубы в первый прием Александр Владимирович сделал мне необыкновенную презентацию, то есть мне сфотографировали зубы как положено и мне про каждый зуб все было рассказано, то есть презентация была очень полезной, долгая, все было понятно все объяснили что можно сделать, как можно сделать. Я делала керамику и помимо виниров я сделала на задние зубы, где раньше были пломбы, поставила вкладки, я в восторги от этой клинике, я в восторге от врача. Я могу улыбнуться и показать какие у меня красивые зубы.

Все отзывы
Хочу выразить особую благодарность врачам

Наша пациентка делится личным опытом посещения клиники WeekSmile. Она рассказывает, почему выбрала именно нас, как проходило лечение и что больше всего её впечатлило. Особенно тепло пациентка отзывается о профессионализме врачей, внимательном отношении и комфортной атмосфере.

Все отзывы
Это самый внимательный доктор которого я видела

Искренний отзыв нашей пациентки об установке виниров в WeekSmile. Она признаётся: такого внимательного доктора она ещё не встречала! Делится впечатлениями о клинике, о процессе преображения и о том, как важно чувствовать заботу на каждом этапе.

Все отзывы

Благодарности от пациентов

Тигашова Алена Михайловна

Все крайно максимально быстро, профессионально, безболезненно и добродушно (огромную роль сыграла помощница — Арина).
Наивысшая благодарность!

Н. Светлана Алексеевна

Хочу оставить очень хороший отзыв в адрес Арины Леонидовны. Большое спасибо и низкий поклон вам.

Николенко Владимир

Выражаю глубокую благодарность доктору Михалеву, это лучший доктор-стоматолог. После посещения остались самые положительные эмоции. Буду посещать только эту клинику.

Николенко Вера

Выражаю благодарность доктору Михалеву А. В. за высококачественный профессионализм, при каждом посещении я чувствовала заботу и внимание. Все процедуры были максимально комфортными.

Соловьев Сергей Александрович

Прекрасный врач и хороший человек. Боялся обтачивать зубы, но доктор всё сделал блестяще и без боли. Виниры встали великолепно, и цвет как мне нужно.

Токаревская Т. М.

Большое спасибо всему коллективу клиники за мою улыбку. Установила 12 виниров. Это просто чудо. Хожу и улыбаюсь. Даже мои сослуживцы стали улыбаться в ответ. Спасибо!!!

Карпов Евгений Андреевич

Ставил год назад две коронки E-MAX на жевательные зубы. Очень доволен эстетикой и результатом спустя год. Рекомендую этого стоматолога-ортопеда.

Петрова Ю. С.

Проходила гигиену у Арины Леонидовны и осталась очень довольна. Профессионал своего дела, тактичная, внимательная. Ответила на все вопросы. Обязательно вернусь ещё!

Макеева Наталья Сергеевна

Выражаю огромную благодарность коллективу “WeekSmile”. В особенности Дорохову К. В. за преданность своему делу и высокий профессионализм. Процветания клинике “WeekSmile”.

Иванишина Екатерина Юрьевна

Хочу выразить свою благодарность доктору Шандоре Антону Павловичу, за проявление терпимости, объяснение деталей лечения и ответы на все вопросы. Такие врачи делают мир лучше, а улыбку краше. Благодарю за отличную работу и безупречную улыбку.

Все благодарности

Особенности методики All-in-4 WeekSmile

специализируется на эстетической стоматологии, комплексной имплантации, удалении зубов и протезировании, керамической реставрации, установке виниров, применяются все виды протезирования.


Наши специалисты работают со всеми случаями восстановления разрушенных или отсутствующих зубов, включая очень сложные.

[ 1 ]

All-in-4

Вернуть часть налога с доходов физических лиц можно не только за собственное лечение, но и за лечение родных.

[ 2 ]

All-in-4

Вернуть часть налога с доходов физических лиц можно не только за собственное лечение, но и за лечение родных.

[ 3 ]

All-in-4

Вернуть часть налога с доходов физических лиц можно не только за собственное лечение, но и за лечение родных.

Когда речь заходит о восстановлении эстетики улыбки с помощью виниров, перед пациентом неизбежно встает вопрос цены. Разброс предложений на рынке огромен: от бюджетных вариантов до премиум-сегмента. В чем же разница? Разберемся, что скрывается за ценой и на чем нельзя экономить.

[ 1 ]
Виниры E-Max

E-Max — это современный материал для производства цельнокерамических изделий, который применяется в нашей клинике. Изделия из керамики E-Max надёжные, прочные и высокоэстетичные. Микропротезы не меняют цвет, поскольку материал не впитывает пигменты. Они сохраняют визуальную безупречность на протяжение всего срока службы. В нашей клинике виниры Е-Мах изготавливают на современном цифровом оборудовании Cerec в собственной лаборатории всего за 1-3 дня, установка проводится за 1 приём. Срок службы виниров Е-Мах от 15 лет.

[ 2 ]
Виниры E-Max

E-Max — это современный материал для производства цельнокерамических изделий, который применяется в нашей клинике. Изделия из керамики E-Max надёжные, прочные и высокоэстетичные. Микропротезы не меняют цвет, поскольку материал не впитывает пигменты. Они сохраняют визуальную безупречность на протяжение всего срока службы. В нашей клинике виниры Е-Мах изготавливают на современном цифровом оборудовании Cerec в собственной лаборатории всего за 1-3 дня, установка проводится за 1 приём. Срок службы виниров Е-Мах от 15 лет.

Что входит в стоимость установки виниров в нашей клинике

За одну цену пациенты клиники получают полную работу - виниры "под ключ". Мы отличаемся отсутствием скрытых платежей, все наши пациенты получают полноценное лечение. У нас также регулярно действуют акции и доступна рассрочка.

[ 1 ] HD-консультация
[ 2 ] диагностика
[ 3 ] компьютерная томография
[ 4 ] 3D-сканирование
[ 5 ] 3D-моделирование улыбки
[ 6 ] изготовление
[ 7 ] фотопротокол
[ 8 ] все манипуляции стоматолога по подготовке и установке
[ 9 ] материалы
[ 10 ] анестезия
[ 11 ] все дальнейшие осмотры в гарантийный срок
[ 12 ] коррекции и, при необходимости, снятие

Цены на установку виниров

Наша клиника в Москве оказывает услуги "под ключ", поэтому стоимость установки виниров на всех этапах работ не меняется.

С актуальными ценами установки виниров в Москве вы можете ознакомиться в соответствующем разделе сайта, либо по номеру 8 (495) 154-98-19.

Налоговый вычет 13% за лечение

Стоматология WEEKSMILE подготовит необходимые документы для налогового вычета, что заметно сэкономит траты на лечение. Оформить его можно в течение 3-х лет с момента оплаты расходов.

Подробне
Беспроцентная рассрочка

Также, пациенты нашей клиники могут оформить беспроцентную рассрочку на 6, 10 или 12 месяцев. Лечение в рассрочку – отличный способ решить стоматологические проблемы, не откладывая.

Подробне
Композитный винир 1 единица HD - консультация, первичная консультация, повторная консультация, фотопротокол, моделирование, все манипуляции, материалы, работа врача, установка винира, диагностика, все дальнейшие осмотры в гарантийный срок, коррекции. При необходимости снятие виниров.
17 000 ₽
Винир керамический E-max (Германия) на Cerec за 1 час HD - консультация, 3D - сканирование, 3D - моделирование, первичная консультация, повторная консультация, фотопротокол, цифровой дизайн улыбки, все манипуляции, материалы, работа врача, установка винира, диагностика, все дальнейшие осмотры в гарантийный срок, коррекции. При необходимости снятие виниров.
42 000 ₽
Винир на рефракторе за 1 единицу HD - консультация, 3D - сканирование, 3D - моделирование, первичная консультация, повторная консультация, фотопротокол, цифровой дизайн улыбки, все манипуляции, материалы, установка винира, диагностика, все дальнейшие осмотры в гарантийный срок, коррекции. При необходимости снятие виниров.
42 000 ₽
Комплекс из 10 керамических виниров E-max (Германия) на Cerec HD - консультация, 3D - сканирование, 3D - моделирование, первичная консультация, повторная консультация, фотопротокол, цифровой дизайн улыбки, все манипуляции, материалы, работа врача, установка винира, диагностика, все дальнейшие осмотры в гарантийный срок, коррекции. При необходимости снятие виниров.
420 000 ₽ 390 000 ₽

Альтернативные винирам методы

[ 1 ] Зуб за час

Реставрации зубов безметалловой керамикой производства Cerec

[ 2 ] Керамические коронки на зубы

Керамические коронки и протезы на свои зубы

[ 3 ] Композитные виниры

Композит — это разновидность фотополимеров, которые используют для пломбирования зубов. Устанавливают во фронтальной группе зубов прямым методом за одно посещение. Терапевт послойно наносит композитный материал, каждый слой засвечивает полимеризационной лампой. Композитные виниры еще называют художественной реставрацией. Композитные реставрации впитывают пищевые красители, со временем меняют цвет, теряют блеск, в связи с этим стоматологи рекомендуют полировать их 1 раз в полгода. Также, композит со временем дает усадку, что приводит к образованию вторичного кариеса. Срок службы таких реставраций до 5 лет.

[ 4 ] Виниры

Идеальный способ исправить недостатки зубов

Высокоточные оптические слепки методом 3D-сканирования

Вы увидите, как преобразится улыбка, ещё до начала лечения

[ 5 ] Зуб за час

Производство и установка керамических коронок, виниров и микропротезов в день обращения при помощи технологии Cerec

[ 6 ] Имплантация зубов

Хотите красивую и здоровую улыбку? Обратитесь к нам! Надежное восстановление при помощи имплантов и эффективное протезирование зубов опытными специалистами. Верните свою уверенность в улыбке и наслаждайтесь ею всю жизнь! Записывайтесь уже сегодня!


от 32 000 ₽ 28 000 ₽
Цена до 31.03.2026

У нас большой опыт леченя пациентов из всех регионов

Лечитесь у профессионалов, даже если вы в другом городе - врачи центра проведут удаленную диагностику и составят план лечения. Вы приезжаете только на само лечение с максимальным удобством и в комфортные сроки.


Читать больше




Собрали самые популярные вопросы в одном месте

  • [ 1 ]

    На какие зубы можно ставить виниры?

    Виниры обычно устанавливаются на передние зубы, которые наиболее заметны при улыбке — это резцы, клыки и премоляры. Они могут быть использованы для коррекции цвета зубов, закрытия промежутков между зубами, исправления незначительного перекоса или изменения формы и размера зубов. Важным условием для установки виниров является достаточное количество здоровой эмали, так как для фиксации накладки может потребоваться её незначительное обтачивание. В случае сильно разрушенных или ослабленных зубов, страдающих кариесом или имеющих большие пломбы, виниры могут быть не лучшим выбором. Перед установкой виниров стоматолог проводит тщательную диагностику и определяет, подходят ли зубы пациента для этой процедуры.

  • [ 2 ]

    Можно ли поставить 1 винир или 2 винира?

    Да. Порой, пациентам не требуется преображать всю улыбку полностью, нужно лишь замаскировать единичные дефекты. Такая услуга востребована при потемневших после депульпирования единицах, дисколорите, трещинах и других повреждениях отдельных зубов. Винир может быть изготовлен в точности под цвет остального зубного ряда с соблюдением всех цветовых переходов таким образом, чтобы микропротез был абсолютно незаметен в зубном ряду и не выделялся.

  • [ 3 ]

    С какого возраста можно ставить виниры?

    С 18 лет. Пациенты должны быть совершеннолетними для проведения эстетических инвазивных манипуляций. В частных случаях, для восстановления функциональности и защиты эмали, виниры устанавливают с 16 лет, но только с согласия совершеннолетнего опекуна. Стоматологи, тем не менее, рекомендуют дождаться восемнадцатилетнего возраста, чтобы дать челюсти до конца сформироваться: до этого момента прикус может изменяться.

  • [ 4 ]

    Какой врач ставит виниры?

    Установкой эстетических ортопедических конструкций занимается стоматолог ортопед. Этот врач специализируется на установке именно керамических виниров, с композитными же накладками работают терапевты.

  • [ 5 ]

    Что происходит с зубами под винирами?

    Под винирами зубы остаются живыми и продолжают выполнять свои функции. При установке керамических виниров, между самой накладкой и эмалью все герметично, остатки пищи, микробы туда не проникнут. Зубы функционируют, как здоровые, но при этом ваша улыбка красивая и привлекательная.

    А вот у композитных виниров имеются такие недостатки, как неточное прилегание к поверхности зуба, а также то, что материал со временем дает усадку, что приводит к образованию вторичного кариеса. У них один плюс: доступная цена, - в эстетике, прочности, герметичности, сроке службы, они проигрывают керамическим винирам.

    А также следует избегать привычек, которые могут повредить виниры, например, откусывание ногтей или открывание бутылок зубами. Регулярные осмотры и профессиональная чистка помогут обеспечить долговечность виниров и сохранение здоровья зубов под ними.

  • [ 6 ]

    Можно ли ставить виниры на пломбы?

    Возможно, при условии, если пломба небольшого размера. Важно убедиться, что пломба точно прилегает к поверхности зуба и под ней нет кариеса.

    Перед установкой виниров необходимо провести полное обследование, чтобы убедиться в отсутствии кариеса или других проблем, которые могут повлиять на возможность установить виниры, а также на долговечность их службы.

  • [ 7 ]

    Можно ли чистить виниры?

    Чистка виниров не только возможна, но и необходима для поддержания их эстетики и долговечности. Виниры требуют такого же регулярного ухода, как и естественные зубы, включая дважды в день чистку мягкой зубной щеткой и использование зубной пасты без абразивных компонентов, которые могут поцарапать поверхность. Также рекомендуется использование зубной нити для удаления налета между зубами и винирами. Стоматологи советуют избегать чрезмерно жестких щеток и сильного давления во время чистки, чтобы не травмировать десна. Регулярные посещения клиники для профессиональной чистки также помогут сохранить виниры в идеальном состоянии.

  • [ 8 ]

    Можно ли ставить виниры при пародонтозе?

    Пародонтоз — это серьезное заболевание тканей, окружающих зубы, которое приводит к постепенной потере костной ткани и может вызвать расшатывание и потерю зубов. Установка виниров при пародонтозе требует индивидуального подхода и тщательной оценки состояния полости рта пациента. Прежде всего, необходимо лечение основного заболевания десен и достижение стабильного состояния пародонта.

    Если пародонтоз находится на начальной стадии и его можно контролировать с помощью профессиональной чистки, терапевтических средств и индивидуальной гигиены, стоматолог может рассмотреть возможность установки виниров после стабилизации состояния десен. Однако, если заболевание прогрессирует и сопровождается значительной потерей костной ткани и подвижностью зубов, установка виниров может быть неприемлемой до момента полной стабилизации клинической картины.

  • [ 9 ]

    Можно ли ставить виниры при пародонтите?

    Пародонтит — это воспалительное заболевание десен, которое может привести к разрушению связующих тканей и костей, поддерживающих зубы. Установка виниров при активном пародонтите не рекомендуется до момента полного устранения симптомов заболевания и его последствий и достижения стабильного состояния пародонта. Лечение пародонтита может включать глубокую чистку зубов (скейлинг), антибактериальную терапию и иногда хирургическое вмешательство.

    После успешного лечения пародонтита и достижения улучшения состояния десен возможна установка виниров. Однако, стоматолог должен тщательно оценить состояние десен и костной ткани перед принятием решения об установке виниров. Пациентам с перенесенным пародонтитом необходим особенно тщательный уход за полостью рта и регулярные посещения стоматолога для предотвращения рецидивов заболевания.

    Для пациентов с пародонтитом в анамнезе особенно важно поддержание здоровья десен для обеспечения долгосрочной успешности установленных виниров. При наличии факторов риска для развития пародонтита (например, курение или диабет) стоматолог может порекомендовать более частые проверки и профилактические процедуры для сохранения здоровья пародонта.

  • [ 10 ]

    Как правильно подобрать виниры?

    Чтобы сделать правильный выбор, нужно взвесить все плюсы и минусы материалов, из которых они изготавливаются.

    Композитные виниры служат 5-7 лет, к недостатками можно отнести недостаточную прочность, они могут сколоться при интенсивной жевательной нагрузке, впитывают пищевые пигменты и окрашиваются со временем, а также становятся матовыми, поэтому нуждаются в регулярной чистке и полировке. Их основные преимущества — это: низкая стоимость, быстрая установка (за 1 приём), возможность нарастить зуб с большим сколом.

    Керамические виниры служат 15 лет и более, не меняют цвет со временем, не окрашиваются, крепкие, не вызывают аллергических реакций, не дают образоваться кариесу, не требуют такого тщательного ухода и частого посещения стоматолога, как композитные изделия. Очевидное преимущество керамических микропротезов в их толщине — 0,3 миллиметра, и визуально безупречном внешнем виде. Они неотличимы от натуральных зубов, окружающие никогда не распознают работу стоматолога в вашей улыбке. Их недостатки — это: высокая стоимость и длительный срок изготовления (от нескольких дней до нескольких недель).

    Цвет изделий можно подобрать любой, поэтому определять, какие протезы Вам подойдут, можно самостоятельно.

Готовы к новой улыбке?
Запишитесь на бесплатную консультацию

Полезные статьи

10.07.2024
Заболевания

Заболевания

Что можно и нельзя лечить у стоматолога накануне отпуска.

13.05.2024
Терапия

Терапия

Как снять боль при зубной боли.

12.04.2024
Имплантация и хирургия

Имплантация и хирургия

Риски употребления алкоголя после зубной имплантации.

02.11.2023
Протезирование

Протезирование

В чём различие между керамическими вкладками и винирами, и как понять, что выбрать?

Читать больше
13.05.2024
Терапия

Терапия

Как снять боль при зубной боли.

12.04.2024
Имплантация и хирургия

Имплантация и хирургия

Риски употребления алкоголя после зубной имплантации.

02.11.2023
Протезирование

Протезирование

В чём различие между керамическими вкладками и винирами, и как понять, что выбрать?

Читать больше