Многопрофильный стоматологический центр
г. Москва, Лазоревый проезд, д. 5, корп. 4
WeekSmile – клиника полного спектра стоматологических услуг

Адрес: Лазоревый проезд, д. 5 корп. 4, г. Москва

Телефон: +7 (495) 513-11-02 8(800)-555-13-07

Специализация: Виниры, Имплантация зубов, Хирургия

Услуги:

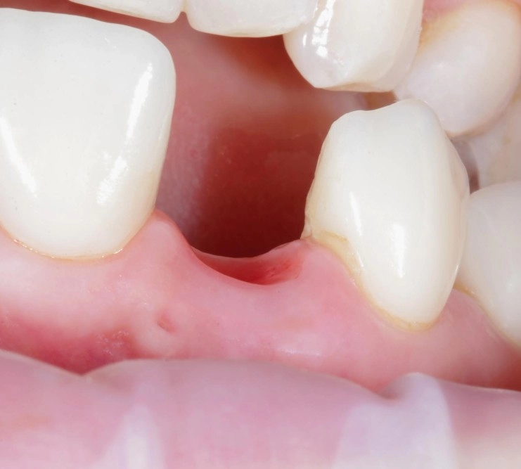
Как избежать альвеолита

Как избежать альвеолита

Альвеолит — это воспаление в лунке удалённого зуба. Возникает оно из-за проникновения в рану вирусов или бактерий. От подобного нас защищает кровяной сгусток, который находится прямо на месте удалённого зуба. Однако, если с этим сгустком что-либо случится, последствия могут быть неприятными: не самым опасным вариантом будет длительное заживление свежей лунки. Ведь сгусток помогает быстрее срастаться тканям десны, а без него этот процесс значительно затянется. В худшем случае место удаления подвергнется инфицированию.

Что может спровоцировать альвеолит

Смещение кровяного сгустка, ровно как и его отсутствие, позволяет бактериям и инфекциям беспрепятственно проникать вглубь раны и провоцировать воспаление. Сгусток может быть смещён механически, если ротовую полость прополоскали, либо в процессе приёма пищи задели пострадавшую область. Либо же он может рассосаться из-за аномалий свёртываемости крови, поэтому важно рассказывать лечащему врачу о своих диагнозах и принимаемых лекарственных препаратах, поскольку рассосаться кровяной сгусток может в результате приёма фибринолитиков.

Сахарный диабет, иммунодефицит, приём оральных контрацептивов — Сахарный диабет влияет на свёртываемость крови, а иммунодефицитные состояния — на содержание в ней лейкоцитов и тромбоцитов, которые отвечают за ответ иммунной системы на воспалительные процессы и затягивание ран. Эстроген, содержащийся в ОК, косвенно увеличивает фибринолитические свойства, то есть разжижает кровь, и сгусток может попросту не сформироваться, либо распасться.

Хирургические травмы во время сложного удаления с сегментацией зуба. Зубы со сложной корневой системой хирургически фрагментируют для менее травмоопасной экстракции. В ходе разделения в десне могут оставаться осколки кости, которые в дальнейшем способны вызвать воспаление.

Удаление зуба мудрости. В дальних отделах челюсти, где и расположены зубы мудрости, у костной ткани нарушены процессы васкуляризации, и возникает эффект “сухих” лунок, соответственно, кровяные сгустки зачастую попросту не формируются.

Курение. Продукты распада при горении табака повышают риск воспаления в 5 раз.

Избыточное применение анестетиков (особенно с высокой концентрацией вазоконстриктора) провоцирует ишемию и затрудняет заполнение лунки кровью.

Возраст. С возрастом в организме возникают процессы, затрудняющие регенерацию и увеличивающие процесс реабилитации.

Какие профилактические меры можно принять для минимизации риска альвеолита?

Во-первых, следует серьёзно отнестись к опросу врача в момент диагностики. Следует честно отвечать на все его вопросы, чтобы стоматолог смог понять, существуют ли факторы, серьёзно влияющие на риск развития болезни. Нужно постараться вспомнить, какие лекарственные препараты вы принимаете или принимали недавно. Также честно рассказать о болезнях и предрасположенностях.

Гигиена

Гигиенические процедуры имеют важное значение — ни в коем случае не беспокойте место удаления зубной щёткой и не полощите рот. Вы сместите или уничтожите кровяной сгусток.

Отказ от алкоголя

Отказ от алкоголя так же важен в период восстановления, так как он разжижает кровь и может спровоцировать кровотечение, а лунка свежеудалённого зуба, по сути своей, открытая рана.

Отказ от спорта

Отмените занятия спортом, даже если он не травмоопасный. Перепады давления могут спровоцировать кровотечение.

Покой

Лучше перенести пару дней реабилитационного периода дома, в покое, и не посещать общественные места, либо носить маску. Избегайте рисков заражения инфекционными заболеваниями, поскольку они вызовут осложнения при заживлении лунки, и даже банальная простуда будет переноситься гораздо тяжелее из-за стресса, которому подвержен организм после хирургического удаления.

Соблюдение рекомендаций

Чтобы снизить риск развития осложнений, необходимо соблюдать рекомендации стоматолога. Рекомендуется постараться отказаться от сигарет за сутки до операции и на три дня после. Если никотиновая зависимость не позволяет безболезненно перенести отказ, можно воспользоваться никотиновыми пластырями или электронными аналогами. Максимальную опасность представляют именно табакокурение и кальян.

Если на 3-5 день после удаления вы чувствуете пульсирующую боль, обратитесь к стоматологу обязательно! На ранних стадиях альвеолит переносится не очень болезненно, но его развитие опасно и чревато воспалением не только мягких тканей. Сепсисы и абсцессы способны перекидываться на надкостницу и кость, задевать и поражать нервы. Последствия очень болезненны. Особенную опасность представляет затягивание похода ко врачу, потому что хроническая стадия развития альвеолита характеризуется мнимым облегчением симптомов. Когда в лунке начинаются некротические и абсцессивные процессы, температура тела приходит к норме, а боль прекращается. В то время, как болезнь только ухудшается.

Подробнее о методе

Вам могут быть полезны эти статьи

  • 07.07.2025
  • Заболевания
Трещины на языке: причины появления и лечение

Трещины на языке — частое явление, которое может расцениваться как вариант нормы, так и проявление заболевания.

  • 08.07.2025
  • Заболевания
Кандидоз полости рта

Опухоль на языке — это новообразование, которое может быть как доброкачественным, так и злокачественным.

  • 11.07.2025
  • Заболевания
Опухоль на языке

Опухоль на языке — это новообразование, которое может быть как доброкачественным, так и злокачественным.

  • 16.06.2025
  • Терапия
Киста зуба: симптомы, диагностика, методы лечения

Киста зуба — что это такое, опасно ли это и как ее лечить?

  • 11.06.2025
  • Терапия
Гипоплазия зубов — симптомы и лечение

Гипоплазия эмали - что это такое и как ее лечить?

  • 25.05.2025
  • Протезирование
Сравнение полевошпатовых виниров с винирами E-Max

Как выбрать нужные виниры: подробная сравнительная характеристика.

  • 23.05.2025
  • Терапия
Ромбовидный глоссит языка

Воспаление языка с образованием красных пятен.

  • 23.05.2025
  • Терапия
Десквамативный глоссит

Первичный и вторичный десквамативный глоссит.

  • 23.05.2025
  • Терапия
Складчатый глоссит

Диагностика и лечение складчатого глоссита.

  • 23.05.2025
  • Терапия
Заболевания языка: причины и виды заболеваний

Пятна на языке и глосситы.

Комфортный прием с индивидуальным подходом. Запишитесь на бесплатную HD консультацию

Пройдите бесплатную диагностику и получите оптимальный план лечения